티스토리 뷰
목차

호흡기 감염병
수세기 전부터 혹은 인류의 시작과 함께 폐렴은 같이 역사를 해오고 있었습니다. 비록 폐렴이 공식적으로 확인된 것은 인류의 의학이 크게 발전한 19세기와 20세기 부 터지만 적절한 치료가 없다면 사람을 사망에 이르게 하기도 하는 이 질병의 특성상 오래된 과거부터 인류와 함께해 왔다는 것은 의심할 여지가 없는 사실입니다. 오늘은 폐렴의 복잡성에 대해 자세히 살펴보고, 그 역사적 발전, 다양한 증상, 진단 방법 및 다양한 치료 모델에 대해 알아보겠습니다. 폐렴이란 일상적이지만 심각한 호흡기 감염에 대한 이해를 통해서 조금이라도 이 병을 이겨내는 계기가 되었으면 좋겠습니다.
폐렴 정보 알아보기
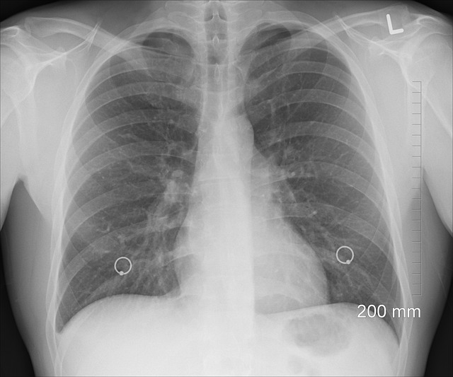
폐렴의 이야기는 수세기에 걸쳐 의료 역사의 일부로 남아 있습니다. 그러나 폐렴과 그 원인 요소에 대한 현대적인 이해는 미생물학의 중요한 발견과 의료 영상 기술의 발전과 함께 19세기와 20세기에 조금씩 나타나기 시작했습니다. 루이 파스퇴르의 개척적인 업적부터 비로엔트로엔트겐이 새겨진 흉부 방사선술의 등장까지, 각 이정표는 폐렴의 병리학적 메커니즘과 치료 방법을 더 깊게 이해할 수 있도록 발판을 마련했습니다. 폐렴은 다양한 증상 스펙트럼을 통해 다양한 증상을 보이며, 이로 인해 진단에 어려움을 겪고 있습니다. 기침, 발열, 흉통, 호흡곤란 및 피로감은 대표적인 증상이지만, 기저 원인 요인, 환자의 인구 통계학적 특성 및 동반 질환에 따라 발현이 다를 수 있습니다. 증상의 서서히 나타나는 특성은 일반적인 호흡기 감염과 유사하게 나타날 수 있으므로 증상을 제때 인식하고 적절한 치료 전략을 시작하기 위해 높은 수준의 임상 의심이 필요합니다. 또한 폐렴의 빠른 진행성은 미세한 임상 징후를 인식하고 적절한 관리 전략을 취하는 것이 중요함을 강조합니다. 폐렴을 진단하기 위해서는 임상 평가, 방사선 영상 및 실험실 조사를 포함한 종합적인 평가가 필요합니다. 청진 이상 및 생명 체질량 지수 변화와 같은 임상 소견은 초기 단계에서 중요한 힌트를 제공하여 후속 진단 단계를 안내합니다. 폐렴 진단에서 흉부 방사선은 감염을 나타내는 융합성 폐 변화를 감지하는 데 중요한 역할을 하며, 어려운 증례의 경우 컴퓨터 단층 촬영(CT)과 같은 고급 영상 기술은 질병의 심각성과 합병증 요인에 대한 추가 통찰력을 제공할 수 있습니다. 분비물 배양, 혈액 배양 및 호흡기 병원균 패널과 같은 실험실 검사는 원인 균을 확인하여 표적 항생제 치료를 실시하고 환자 결과를 최적화하기 위한 중요한 역할을 합니다.
폐렴의 효과적인 치료법
폐렴의 효과적인 치료는 기저 감염을 대처하면서 회복을 촉진하고 합병증을 최소화하기 위한 다각적인 접근이 필요합니다. 세균성 폐렴의 치료에는 항생제가 핵심 역할을 하며, 항생제의 선택은 의심되는 병원균, 지역 내 내성 패턴 및 환자의 임상 상태와 같은 요소에 따라 안내됩니다. 폭넓은 스펙트럼 항생제인 매크로라이드, 플루오로퀴놀론 또는 세팔로스포린과 같은 항생제는 결정적인 미생물학적 결과를 받기 전까지 치료를 맞추기 위해 통상 처방됩니다. 항균요법 외에도 지원적 조치는 폐렴의 치료에서 중요한 역할을 합니다. 충분한 수분 섭취, 휴식 및 영양 공급은 면역 반응을 지원하고 회복을 촉진하는 데 중요합니다. 아세트아미노펜 또는 비스테로이드 항염증제(NSAID)와 같은 진통제는 불편함을 완화하고 발열을 줄이기 위해 권장될 수 있습니다. 호흡이 어렵거나 산소 포화도가 목표치 이하인 환자의 경우, 보충 산소 요법이 충분한 조직 산소 공급을 보장하기 위해 투여될 수 있습니다. 폐렴의 심한 경우나 합병증이 발생한 경우 입원이 필요할 수 있으며, 집중 치료와 감시를 제공하기 위해 입원이 이루어집니다. 입원환자는 병원에서 정맥 항생제 및 기타 지원적 치료를 더 효과적으로 투여받을 수 있으며, 치료의 임상 진행과 반응을 밀접하게 관찰할 수 있습니다. 호흡 부전 또는 패혈증의 경우, 기계 환기 및 혈관 수축제 약물이 환자의 상태를 안정화하고 추가 악화를 방지하기 위해 필요할 수 있습니다. 급성 치료를 넘어서 예방 전략은 개인과 의료 시스템에 걸친 폐렴의 부담을 줄이는 데 중요한 역할을 합니다. 폐렴 및 인플루엔자 바이러스를 포함한 일반적인 세균성 및 바이러스성 병원균에 대한 예방 접종은 예방 노력의 중추를 이룹니다. 특히 호흡기 감염으로 인한 합병증 위험이 있는 개인에게 연간 인플루엔자 예방 접종이 권장됩니다. 또한 기침과 재채기를 가리고 자주 손 씻기와 같은 좋은 호흡기 위생 수칙을 실천함으로써 사회에서 호흡기 병원균의 전파를 방지할 수 있습니다. 또한 폐렴 및 그 위험 요소에 대한 인식을 높이는 것이 조기 인식 및 적시 치료를 위해 중요합니다. 특히 고위험 인구 군에서 호흡기 증상으로 의료 서비스를 받는 중요성에 대한 대중 교육은 진단 및 치료 시작에 지연을 방지하는 데 도움이 됩니다. 접종을 촉진하고 감염 관리 조치를 시행하며 지역 사회 참여를 촉진함으로써, 우리는 폐렴 발생률을 줄이고 이 흔한 호흡기 감염으로 영향받는 사람들의 결과를 개선하기 위해 함께 노력할 수 있습니다.